We Do the Impossible…

Pain Free Root Canals

Fingers crossed you don’t need it, but if you do, we’re here to help

Your Golden Triangle Dentist

Owners of Today Dental

Today Dental Crowley

Superior root canal longevity

Step into pain-free living with our gleaming root canals! We maintain high quality standards, employing the most modern techniques and materials to keep your tooth in peak health.

Pain-free visit!

Experience pain-free root canals at Today Dental of Golden Triangle, expertly designed to save your tooth and alleviate discomfort. Rest assured, our root canal procedure is as comfortable as a routine dental visit.

Skilled dentists

At Golden Triangle, our dentists has fine-tuned the art of the perfect root canal. Through continuous learning and extensive courses, we’ve elevated your root canal experience to be not just effective, but enjoyable with time tested results.

More money saved!

Your Golden Triangle, dentists is your cost-saving partner! Enhance the efficiency of root canal appointments for affordable treatments, ensuring a dental experience that’s both amazing and budget-friendly.

Saving timeh

Today Dental of Golden Triangleoffers efficient root canal therapy, utilizing the latest dental advancements to reduce appointment times. Prioritize family time over extended stays in the dental office.

Conservation approach

Seeking excellence in root canal care? Our Golden Triangle dentists specializes in conservative approaches, ensuring the preservation of natural tooth structure through minimally invasive root canal therapy.

Our Superpower is Saving Teeth

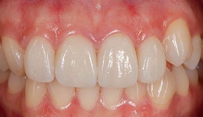
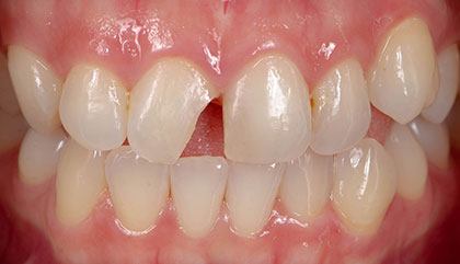
before
after
before
after
before
after
before
after

Opening Hours

DayHours
Monday8:30 a.m. - 5:30 p.m.
Tuesday8:30 a.m. - 5:30 p.m.
Wednesday8:30 a.m. - 5:30 p.m.
Thursday8:30 a.m. - 5:30 p.m.
Friday8:30 a.m. - 3:00 p.m.
Saturday8:00 a.m. - 2:00 p.m.
SundayClosed

YOUR Golden Triangle TEAM

Golden Triangle Office
Golden Triangle Office
Golden Triangle Office
Golden Triangle Office
Golden Triangle Office
Golden Triangle Office
Golden Triangle Office
Golden Triangle Office
Golden Triangle Office
Golden Triangle Office
Golden Triangle Office
Golden Triangle Office
Golden Triangle Office
BB
Braden B.

Such incredible service! Everyone is so friendly the minute you walk through the door! Dr Zajac was extremely professional and did an amazing job on my teeth! Would definitely recommend to everyone wanting a fantastic experience at the dentist! :)

CC
Cynthia C.

Haven’t had a cleaning in over 2 years and this was a great experience for me! Doctor was amazing and sweet! All staff was caring and helpful with any of my dental needs and questions!! 100/10 recommend Today Dental!

RC
Rilee C.

Amazing place! This is our first time and they have been very professional and efficient. They made sure all of our needs were met and provided great service to our boys. We will definitely be making this our family dentistry! Thanks Today Dental!!!

DM
DelvinKatrina M.

Amazing place! This is our first time and they have been very professional and efficient. They made sure all of our needs were met and provided great service to our boys. We will definitely be making this our family dentistry! Thanks Today Dental!!!

You’ve made it this far. . .

FREE Teeth Whitening

Just ask at your first visit

Your Golden Triangle ROOT CANAL EXPERTS

Frequently Asked Questions

Feeling apprehensive about a root canal?

Modern dentistry has transformed root canals into comfortable procedures. Local anesthesia minimizes discomfort, and many patients report feeling relaxed and well-informed throughout the process. Our dedicated team is here to answer your questions and guide you through the experience with care.

Can a root canal weaken my tooth?

It's true that larger back teeth, especially molars, can be more susceptible to fractures after a root canal due to losing their blood supply. However, this risk is relatively low, and dentists often recommend a crown on back teeth after the procedure for added protection. Front teeth typically don't require crowns following a root canal.

Is a same-day root canal an option for me?

At Today Dental, we prioritize your well-being and understand the need for prompt care. We offer same-day root canals in dedicated time slots, aiming to get you out of pain and back to your daily activities quickly. In the rare instance our office is closed, we'll work with our partner clinic to ensure you receive timely care.

Does no pain mean I don't need a root canal?

The absence of pain doesn't always indicate a healthy tooth. A root canal might still be necessary even when you experience no discomfort. This often signifies the tooth is "dead" due to a lack of nerve, which explains the absence of pain. However, the underlying infection can still spread and lead to serious complications like abscesses if left untreated. Our dentistss utilize advanced diagnostic tools, including X-rays, to accurately assess your specific needs and recommend the most appropriate treatment option.

Extraction vs. Root Canal: Weighing the long-term benefits.

While extracting a tooth may seem like a simpler initial solution, it can lead to greater financial burdens down the line. Replacing a missing tooth with implants or dentures can be significantly more expensive than saving the natural tooth with a root canal (and potentially a crown). Additionally, each tooth plays a vital role in maintaining the structure and function of your jaw, preventing surrounding teeth from shifting and causing misalignment. Choosing a root canal can not only save you money but also contribute to a long-term healthy and stable smile, preserving your natural teeth for optimal chewing function and aesthetics.