Implants…

Absolutely!
Experience Matters.
0
Implants placed... and counting ;)

Your Golden Triangle Dentist

Owners of Today Dental

Today Dental Crowley

Fewer implant visits

With our modern tech, we simplify the implant process, reducing the number of appointments. More time spent with family and friends than sitting in the dental chair!

Implant experienced dentist

We’re not your ordinary dentists at Today Dental of Golden Triangle; we’re smile artisans. We craft the perfect dental implant tailored to your specific bone, smile design and expectations

Superior strength implants!

At Today Dental of Golden Triangle, we unlock confidence in every smile. No shortcuts on quality – our dental implants boast the latest tech and a variety of titanium implants faster healing!

Saving your hard earned money

Upgrade your smile without downgrading your bank account! At your Golden Triangle dentist, our budget-friendly team brings you top-quality implants that’s easy on the pocket. Happy smiles, happier savings!

Personalized implant treatment

Feeling overwhelmed by choices? Whether it’s one implant, multiple, implant overdentures, or the All-On-Four – we’re here to personalize your treatment and make it exciting!

Painless treatment options

Worried about getting implants? No problem! We’ve got sedation options – IV sedation, conscious sedation or a dose of laughing gas. Your Golden Triangle dentists is your haven for pain-free dentistry.

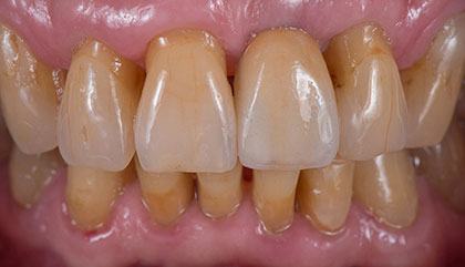
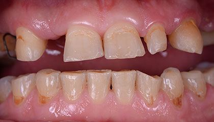
Love Your Smile, Love Your Implant

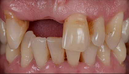
before
after
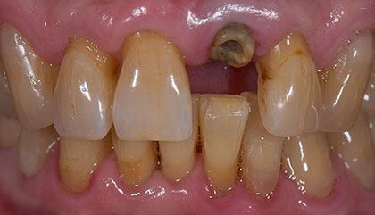
before
after
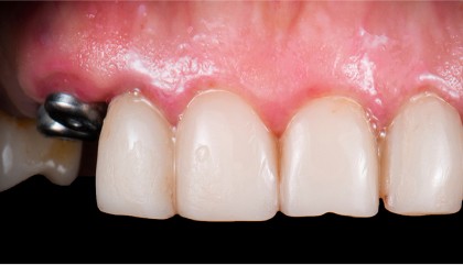
before
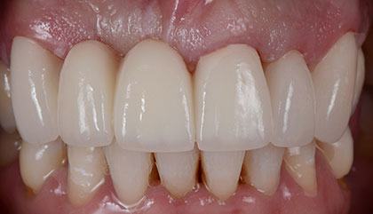
after
before
after

Opening Hours

DayHours
Monday8:30 a.m. - 5:30 p.m.
Tuesday8:30 a.m. - 5:30 p.m.
Wednesday8:30 a.m. - 5:30 p.m.
Thursday8:30 a.m. - 5:30 p.m.
Friday8:30 a.m. - 3:00 p.m.
Saturday8:00 a.m. - 2:00 p.m.
SundayClosed

YOUR Golden Triangle TEAM

Golden Triangle Office
Golden Triangle Office
Golden Triangle Office
Golden Triangle Office
Golden Triangle Office
Golden Triangle Office
Golden Triangle Office
Golden Triangle Office
Golden Triangle Office
Golden Triangle Office
Golden Triangle Office
Golden Triangle Office
Golden Triangle Office
BB
Braden B.

Such incredible service! Everyone is so friendly the minute you walk through the door! Dr Zajac was extremely professional and did an amazing job on my teeth! Would definitely recommend to everyone wanting a fantastic experience at the dentist! :)

CC
Cynthia C.

Haven’t had a cleaning in over 2 years and this was a great experience for me! Doctor was amazing and sweet! All staff was caring and helpful with any of my dental needs and questions!! 100/10 recommend Today Dental!

RC
Rilee C.

Amazing place! This is our first time and they have been very professional and efficient. They made sure all of our needs were met and provided great service to our boys. We will definitely be making this our family dentistry! Thanks Today Dental!!!

DM
DelvinKatrina M.

Amazing place! This is our first time and they have been very professional and efficient. They made sure all of our needs were met and provided great service to our boys. We will definitely be making this our family dentistry! Thanks Today Dental!!!

You’ve made it this far. . .

FREE Teeth Whitening

Just ask at your first visit

Your Golden Triangle DENTAL IMPLANT EXPERTS

Frequently Asked Questions

How long will the dental implant process take?

While the exact timeline varies based on the number of implants needed, the process typically involves multiple appointments. There are five general steps involved, although some individuals may only require three depending on their existing bone health, remaining teeth, and other factors. Here's a breakdown of the average timeframes for each step:

  • Step 1: This step may involve tooth extraction and bone grafting, followed by a 4-6 month healing period.
  • Step 2: The implant is placed, followed by another 4-6 months of healing.
  • Step 3: The implant is uncovered, a healing abutment is placed, and healing takes 3-4 weeks.
  • Step 4: An impression is taken for the crown, with a 2-3 week wait for fabrication.
  • Step 5: The final crown is delivered.

It's important to note that most patients don't require all five steps. In many cases, implants can be placed immediately, or multiple steps can be combined into one appointment, potentially streamlining the process. Ultimately, most patients at Today Dental of Golden Triangle complete the entire process, from implant placement to crown insertion, within 4-5 months.

What's the cost involved in getting dental implants?

Implant costs can vary depending on individual needs, typically ranging from $1,200 to $2,500 per implant. This cost may not include additional procedures like abutments, extractions, bone grafting, or the final crown, which aren't always necessary. At Today Dental of Golden Triangle, we understand the cost concerns associated with implants and strive to make them accessible through various options:

  • Working within your budget: We'll discuss various financial options and explore ways to make implants affordable for your unique situation.
  • Maximizing insurance benefits: We can assist you in maximizing your dental insurance coverage to minimize out-of-pocket costs.
  • Offering discounts: We offer our in-office CareDent Plan for additional savings on your treatment.

Schedule your free, no-obligation implant consultation today to discuss your options and get a personalized cost estimate.

What happens during the first visit?

During your initial consultation, we'll perform a comprehensive evaluation to determine if implants are right for you. This evaluation will assess your bone health, anatomy, gums, sinuses, and overall oral health to determine the necessary steps for implant placement. We believe in transparency, so we'll present a detailed treatment plan outlining the timeframe and associated costs, ensuring there are no hidden fees. Additionally, whenever possible, we strive to streamline the process by initiating treatment during your first appointment, with your consent.

Why choose dental implants over other options?

Dental implants, often referred to as "artificial roots," are a popular tooth replacement option with excellent long-term success rates (in the absence of disease). Compared to removable dentures, implants more closely resemble natural teeth in both appearance and function. While nothing truly compares to a natural tooth, dental implants offer the closest alternative in terms of look, feel, and function, allowing many of our patients in Golden Triangle to regain confidence in their smiles.

Will it be painful?

Patient comfort is our top priority. Our experienced dentist utilizes cutting-edge technology and techniques to minimize discomfort throughout the entire implant process. While there may be some slight discomfort during the numbing process or potential tooth extraction, this is typically minimal. Additionally, we offer various pain management options to ensure a comfortable experience for every patient, including IV sedation, conscious sedation (oral medication and nitrous oxide), and nitrous oxide (laughing gas).