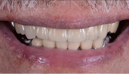
Implant Dentures & All-on-4s...

No More Wobble!
Experience Matters.
0
Delivered dentures... and counting ;)

Your Golden Triangle Dentist

Owners of Today Dental

Today Dental Crowley

Superior denture strength

At Today Dental of Golden Triangle, we meticulously design dentures for optimal strength, durability, and aesthetic appeal. Not only are our dentures visually pleasing, but they also ensure long-lasting performance.

Skilled denture dentists

Experience is key. We aim to create the perfect denture for each patient, focusing on shape, color match, fit, bond strength, and durability in the design. Our goal is to provide dental dentures that perfectly suit you.

Money saved!

Our confidence in efficiency translates to significant cost savings that we are wholeheartedly committed to passing directly on to you. This underscores our dedication to delivering outstanding dental care without straining your budget.

Time saved!

Your dentists has implemented advanced techniques to optimize dental treatment, reducing the time spent at our Golden Triangle office. This ensures you have more quality time to spend with your loved ones.

Denture implants

Preserving your natural smile is our top priority in denture treatment. Dentures with implants? Truly remarkable! Beyond their beauty, they provide stability. That’s our expertise!

Pain free visit!

Opt for IV sedation, conscious sedation, or nitrous oxide – we provide choices to make you feel as at ease as lounging on your favorite beach chair. Take comfort in our commitment to pain-free techniques, guaranteeing a visit that’s entirely free from discomfort!

Who’s ready for Steak?

before
after
before
after
before
after
before
after

Opening Hours

DayHours
Monday8:30 a.m. - 5:30 p.m.
Tuesday8:30 a.m. - 5:30 p.m.
Wednesday8:30 a.m. - 5:30 p.m.
Thursday8:30 a.m. - 5:30 p.m.
Friday8:30 a.m. - 3:00 p.m.
Saturday8:00 a.m. - 2:00 p.m.
SundayClosed

YOUR Golden Triangle TEAM

Golden Triangle Office
Golden Triangle Office
Golden Triangle Office
Golden Triangle Office
Golden Triangle Office
Golden Triangle Office
Golden Triangle Office
Golden Triangle Office
Golden Triangle Office
Golden Triangle Office
Golden Triangle Office
Golden Triangle Office
Golden Triangle Office
BB
Braden B.

Such incredible service! Everyone is so friendly the minute you walk through the door! Dr Zajac was extremely professional and did an amazing job on my teeth! Would definitely recommend to everyone wanting a fantastic experience at the dentist! :)

CC
Cynthia C.

Haven’t had a cleaning in over 2 years and this was a great experience for me! Doctor was amazing and sweet! All staff was caring and helpful with any of my dental needs and questions!! 100/10 recommend Today Dental!

RC
Rilee C.

Amazing place! This is our first time and they have been very professional and efficient. They made sure all of our needs were met and provided great service to our boys. We will definitely be making this our family dentistry! Thanks Today Dental!!!

DM
DelvinKatrina M.

Amazing place! This is our first time and they have been very professional and efficient. They made sure all of our needs were met and provided great service to our boys. We will definitely be making this our family dentistry! Thanks Today Dental!!!

You’ve made it this far. . .

FREE Denture Cleaning

Just ask at your first visit

Your Golden Triangle DENTURE EXPERTS

Frequently Asked Questions

What’s the time length for dentures?

Dental implants can take a year, but dentures can be crafted in a matter of weeks. In a rush? We offer express options with temporary solutions available within 48 hours. The typical process involves 2-3 appointments spread over 3-4 weeks, depending on factors like new vs. replacement dentures, healing time, and the specific type chosen.

Can dentures fit your budget?

Compared to other tooth replacement methods, dentures are often a budget-friendly choice, especially with insurance. They generally range from $550 to $2,000, depending on the number of missing teeth, the material and type of denture, and your insurance coverage. We also offer an in-house financial assistance program for patients without insurance.

What happens during your initial consultation?

During your initial consultation, the dentist will discuss your options in detail, outlining the entire process, timeline, and associated fees. They may also take digital scans of your mouth on the same day to streamline the process, minimizing the number of appointments required.

Can dentures improve your quality of life?

Absolutely! Dentures can significantly enhance your well-being by allowing you to eat, speak, and smile with confidence again. Whether you're missing a few teeth or need a full set, dentures offer a versatile and accessible solution. Beyond functionality, dentures can even benefit your facial structure by maintaining natural contours and preventing the sagging that can occur with tooth loss. We offer various options, including full dentures, partial dentures, and implant-supported dentures, to find the perfect match for your specific needs and lifestyle preferences.

Do you offer denture repairs?

Certainly! We prioritize patient convenience, aiming to repair your dentures in 1-2 days in most cases. Whenever possible, we utilize advanced techniques to focus on preserving and restoring your existing dentures. If repairs are viable, it's generally a faster and more cost-effective option compared to complete replacements. Your satisfaction and well-being remain our top priorities!