Dental Cleanings

Never Felt So Clean

Your Golden Triangle Dentist

Owners of Today Dental

Today Dental Crowley

Ultrasonic cleaning approach

IEmbrace a modern approach to dental hygiene with ultrasonic cleanings at Today Dental of Golden Triangle. The use of advanced tools such as the Cavitron and laser sets a new standard for efficient and effective dental care.

Cleanings without pain

At Today Dental of Golden Triangle, we prioritize pain-free dental cleanings through the use of technology and a gentle touch. Explore our three sedation options—IV sedation, conscious sedation, and nitrous oxide—for a comfortable and personalized experience.

Cost effective

Today Dental brings you cost-effective dental care. By embracing modern technology like lasers and ultrasonic scalers, we’ve shortened cleaning appointments, providing you with substantial savings.

Delicate cleanings

Say goodbye to poking and prodding! Our Golden Triangle dental team takes a stand against heavy-handed cleanings. Experience only fingertip pressure for a thorough teeth cleaning without the need to jump out of the chair.

Time saving approach

Save time during your dental appointment with our efficient procedures. Quick seating, efficient teeth cleaning, and you’re on your way. It’s a straightforward and time-conscious approach.

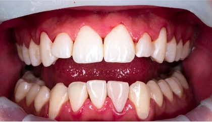
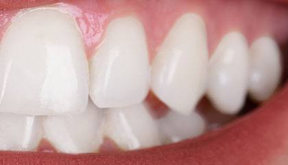
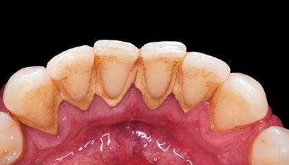
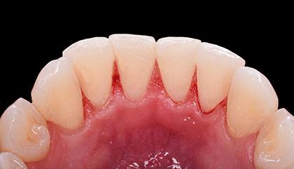
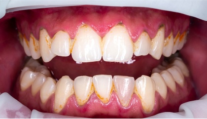
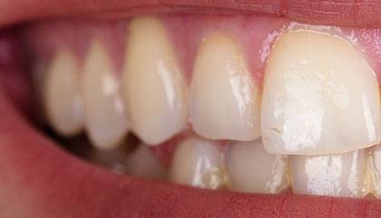
Better Teeth Better Health

before
after
before
after
before
after
before
after

Opening Hours

DayHours
Monday8:30 a.m. - 5:30 p.m.
Tuesday8:30 a.m. - 5:30 p.m.
Wednesday8:30 a.m. - 5:30 p.m.
Thursday8:30 a.m. - 5:30 p.m.
Friday8:30 a.m. - 3:00 p.m.
Saturday8:00 a.m. - 2:00 p.m.
SundayClosed

YOUR Golden Triangle TEAM

Golden Triangle Office
Golden Triangle Office
Golden Triangle Office
Golden Triangle Office
Golden Triangle Office
Golden Triangle Office
Golden Triangle Office
Golden Triangle Office
Golden Triangle Office
Golden Triangle Office
Golden Triangle Office
Golden Triangle Office
Golden Triangle Office
BB
Braden B.

Such incredible service! Everyone is so friendly the minute you walk through the door! Dr Zajac was extremely professional and did an amazing job on my teeth! Would definitely recommend to everyone wanting a fantastic experience at the dentist! :)

CC
Cynthia C.

Haven’t had a cleaning in over 2 years and this was a great experience for me! Doctor was amazing and sweet! All staff was caring and helpful with any of my dental needs and questions!! 100/10 recommend Today Dental!

RC
Rilee C.

Amazing place! This is our first time and they have been very professional and efficient. They made sure all of our needs were met and provided great service to our boys. We will definitely be making this our family dentistry! Thanks Today Dental!!!

DM
DelvinKatrina M.

Amazing place! This is our first time and they have been very professional and efficient. They made sure all of our needs were met and provided great service to our boys. We will definitely be making this our family dentistry! Thanks Today Dental!!!

You’ve made it this far. . .

FREE Teeth Whitening

Just ask at your first visit

Your Golden Triangle DENTAL cLEANING EXPERTS

Frequently Asked Questions

Need a dentists ASAP?

No need to fret! Today Dental prioritizes same-day appointments, understanding your time is valuable. If, by chance, we're closed, we'll seamlessly connect you with our nearby sister clinic. Your convenience is our top priority.

Curious about ultrasonic cleaning?

Think high-tech spa day for your teeth! This innovative technology uses sound waves and a special solution to gently remove plaque, tartar, and stains, offering a more comfortable and efficient experience than traditional methods.

Worried you might need a "deep cleaning"?

Relax, our experienced team is here to help! We excel in scaling and root planing (deep cleanings). We'll conduct a thorough oral health assessment and develop a personalized treatment plan tailored specifically to your needs. At Today Dental, personalized care is our core value.

Thinking a regular cleaning is enough before a deep cleaning?

While regular cleanings are crucial, they're not recommended for individuals requiring a deep cleaning due to gum disease. Deep cleaning addresses advanced plaque and tartar buildup below the gumline, requiring specific treatment protocols. In some cases, a preliminary debridement cleaning might be necessary to prepare your teeth for the deep cleaning appointment.

Wondering how long your appointment will take?

The duration depends on factors like your patient status and the procedure needed. Typically, routine cleanings with exams and X-rays take an hour for returning patients and an hour and a half for new patients. Deep cleanings (scaling and root planing) usually require a separate appointment, lasting anywhere from one to three hours, depending on the severity of the case.