Veneers…
Never Afraid To “Say Cheese”

Your content here.
Experience Matters.
0
Veneers placed…and counting : )

Your Golden Triangle Dentist

Owners of Today Dental

Today Dental Crowley

Veneers are our passion!

It’s all about veneers at Today Dental of Golden Triangle! Attending an important event or seeing someone from your past? We’ve got you covered, assisting you in bringing back your beautiful smile!

Skilled dentists

Don’t entrust your smile to just anyone—choose Today Dental of Golden Triangle for a team with years of hands-on experience. We stand by the irreplaceable value of real-world expertise when it comes to your smile.

Money saved with veneers!

Transform your life at your Golden Triangle dentist with affordable veneers. Our dedication to assisting many patients get veneers keeps costs low while delivering superior, longer-lasting veneers.

Let’s share a secret with you

There’s nothing more exhilarating for a dentist than the opportunity to change lives through a dazzling new smile. Come, be a part of your dental adventure, and let us create the smile you’ve been dreaming about.

Sensational smile!

Imagine seeing a stunning smile looking back at you in the mirror. This reality is closer than you think. Your Golden Triangle, dentist can transform that dream into a possibility with veneers — ideal for fixing crooked, broken, cracked, or discolored teeth.

Loving your smile

Rediscover your smile with dental veneers! A smile possesses the charm to melt hearts, unlock career doors, and make unforgettable first impressions. Its contagious nature is something we truly understand.

Million Dollar Smile at a Fraction of the Cost

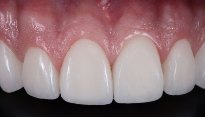
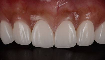
before
after
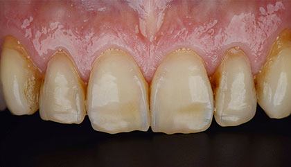
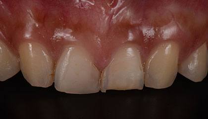
before
after
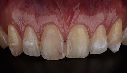
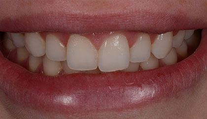
before
after
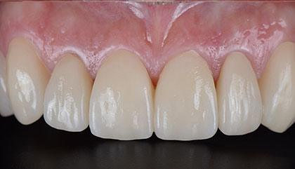
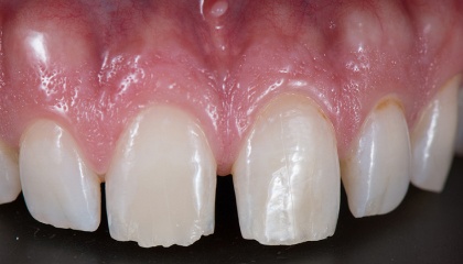
before
after
before
after

Opening Hours

DayHours
Monday8:30 a.m. - 5:30 p.m.
Tuesday8:30 a.m. - 5:30 p.m.
Wednesday8:30 a.m. - 5:30 p.m.
Thursday8:30 a.m. - 5:30 p.m.
Friday8:30 a.m. - 3:00 p.m.
Saturday8:00 a.m. - 2:00 p.m.
SundayClosed

YOUR Golden Triangle TEAM

Golden Triangle Office
Golden Triangle Office
Golden Triangle Office
Golden Triangle Office
Golden Triangle Office
Golden Triangle Office
Golden Triangle Office
Golden Triangle Office
Golden Triangle Office
Golden Triangle Office
Golden Triangle Office
Golden Triangle Office
Golden Triangle Office
BB
Braden B.

Such incredible service! Everyone is so friendly the minute you walk through the door! Dr Zajac was extremely professional and did an amazing job on my teeth! Would definitely recommend to everyone wanting a fantastic experience at the dentist! :)

CC
Cynthia C.

Haven’t had a cleaning in over 2 years and this was a great experience for me! Doctor was amazing and sweet! All staff was caring and helpful with any of my dental needs and questions!! 100/10 recommend Today Dental!

RC
Rilee C.

Amazing place! This is our first time and they have been very professional and efficient. They made sure all of our needs were met and provided great service to our boys. We will definitely be making this our family dentistry! Thanks Today Dental!!!

DM
DelvinKatrina M.

Amazing place! This is our first time and they have been very professional and efficient. They made sure all of our needs were met and provided great service to our boys. We will definitely be making this our family dentistry! Thanks Today Dental!!!

You’ve made it this far. . .

FREE Teeth Whitening

Just ask at your first visit

Your Golden Triangle VENEERS EXPERTS

Frequently Asked Questions

What's the ETA (estimated time of arrival) for this treatment?

Step into a future of brighter smiles and unwavering confidence with Today Dental of Golden Triangle's transformative veneer program. Our streamlined process typically takes only 2 comfortable appointments, spaced 2-3 weeks apart, to unveil your dream smile. And for complete peace of mind, we offer an optional "try-in" appointment. This empowers you to actively participate in the design process, ensuring your custom-crafted veneers seamlessly blend with your natural features and exceed your expectations in every way. At Today Dental, we value your unique needs and aspirations, crafting smiles that radiate confidence and empower you to shine brighter than ever before.

What's it gonna set me back?

Embarking on your porcelain veneer journey starts with understanding the associated costs. Each veneer typically falls within the $1,200-$2,000 range, with most patients requiring 6-8 veneers for a complete "Smile Zone" transformation. However, the final cost depends on two main factors: your unique dental needs and the type of veneer chosen (standard or premium). Replacing existing restorations, masking metal fillings, or treating worn-down teeth due to grinding habits could impact the pricing. We believe in upfront pricing and personalized consultations. During your appointment, we'll meticulously explain any potential cost variations specific to your case, ensuring you make an informed decision about investing in a smile that empowers you to live life to the fullest.

Preparing for my first appointment. Is there any information you can share?

Take the first step with a free consultation at Today Dental! We offer comprehensive smile assessments at no cost, utilizing X-rays to evaluate your bone and gum health, reviewing your dental history, and screening for teeth grinding (bruxism) – a condition for which a mouth guard might be recommended after veneers. At Today Dental, we believe in efficiency. Often, your personalized veneer process can begin immediately after your consultation, ensuring a prompt and seamless transformation.

What are some key factors to consider when deciding if veneers are right for me?

Here are the common reasons why people choose to get veneers:

  • Embrace a confident smile with the magic of veneers!
  • Stained, chipped, or misshapen teeth? Veneers offer a beautiful, permanent solution.
  • Wish your smile was whiter? Veneers excel where traditional methods fall short.
  • Uneven gaps or misalignment impacting your smile? Veneers create perfect symmetry.
  • Strong and stain-resistant, veneers are a long-lasting investment in confidence.
  • Preserve your natural beauty – veneers require minimal enamel removal for maximum impact.
  • See your new smile sooner! Veneers often take just a few appointments.

Are repairing veneers something you do?

At Today Dental, we champion repair over replacement whenever possible! We understand the importance of preserving your natural teeth and existing dental work. Don't let a chipped veneer create undue stress. Schedule a consultation with our experienced team, and we'll perform a thorough assessment to determine the best approach, whether it's a repair that restores functionality and aesthetics or, less frequently, a replacement. Experience the Today Dental difference – prioritizing conservative care for long-lasting smiles.