Crowns...

Absolutely
Experience Matters.
0
Crowns cemented... and counting ;)

Your Golden Triangle Dentist

Owners of Today Dental

Today Dental Crowley

Superior crown strength

At Today Dental of Golden Triangle our crowns are precisely crafted for strength, durability, and aesthetic appeal. Our crowns are not only visually pleasing but also guarantee longevity.

Skilled dentists

Experience matters. We seek to create the perfect crown for all of our patients. With shape, color match, fit, bond strength and durability in the design, we craft the perfect dental crowns that are just right for you.

More money saved!

Our confidence lies in our efficiency, resulting in cost savings that we are committed to passing directly on to you. This reflects our devotion to providing exceptional dental care without breaking the bank.

Saving time

Your dentists has utilized advanced techniques to enhance the dental treatment, reducing the time spent at our office in Golden Triangle and allowing you more quality time with your loved ones.

Conservation approach

We maintain the integrity of tooth structure, safeguarding your natural teeth for many years. If you’re in search of a conservative dentists, you have indeed discovered the ideal place.

Pain free visit!

Whether it’s IV sedation, conscious sedation, or nitrous oxide, we offer options to make you as comfortable as sitting at the beach on your favorite lounge chair. Find solace in our dedication to implementing pain-free techniques, ensuring a visit free from discomfort!

Great Crowns are Backed by Great Warranties

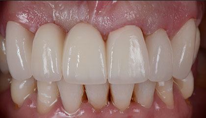
before
after
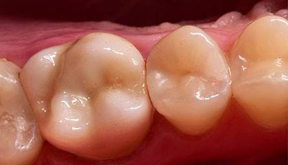
before
after
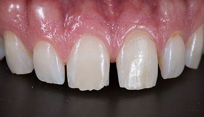
before
after
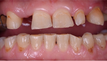
before
after

Opening Hours

DayHours
Monday8:30 a.m. - 5:30 p.m.
Tuesday8:30 a.m. - 5:30 p.m.
Wednesday8:30 a.m. - 5:30 p.m.
Thursday8:30 a.m. - 5:30 p.m.
Friday8:30 a.m. - 3:00 p.m.
Saturday8:00 a.m. - 2:00 p.m.
SundayClosed

YOUR Golden Triangle TEAM

Golden Triangle Office
Golden Triangle Office
Golden Triangle Office
Golden Triangle Office
Golden Triangle Office
Golden Triangle Office
Golden Triangle Office
Golden Triangle Office
Golden Triangle Office
Golden Triangle Office
Golden Triangle Office
Golden Triangle Office
Golden Triangle Office
BB
Braden B.

Such incredible service! Everyone is so friendly the minute you walk through the door! Dr Zajac was extremely professional and did an amazing job on my teeth! Would definitely recommend to everyone wanting a fantastic experience at the dentist! :)

CC
Cynthia C.

Haven’t had a cleaning in over 2 years and this was a great experience for me! Doctor was amazing and sweet! All staff was caring and helpful with any of my dental needs and questions!! 100/10 recommend Today Dental!

RC
Rilee C.

Amazing place! This is our first time and they have been very professional and efficient. They made sure all of our needs were met and provided great service to our boys. We will definitely be making this our family dentistry! Thanks Today Dental!!!

DM
DelvinKatrina M.

Amazing place! This is our first time and they have been very professional and efficient. They made sure all of our needs were met and provided great service to our boys. We will definitely be making this our family dentistry! Thanks Today Dental!!!

You’ve made it this far. . .

FREE Teeth Whitening

Just ask at your first visit

Your Golden Triangle CROWN & Bridge EXPERTS

Frequently Asked Questions

What’s the process to getting a crown done?

Crowns and bridges typically involve two appointments, spaced a few weeks apart. However, emergencies like chipped front teeth might allow for a quicker crown turnaround. While some clinics offer same-day solutions, our experience emphasizes the importance of high-quality crowns crafted in our on-site lab using advanced techniques. At Today Dental of Golden Triangle, prioritizing long-lasting results and a perfect fit is our mission.

Worried about the cost of crowns?

Crowns are often a budget-friendly option compared to alternatives like root canals with crowns, implants, or dentures. We understand financial concerns, and that's why Today Dental offers various options to fit your needs, including an in-house savings plan and flexible payment plans. Additionally, crown pricing varies depending on the location in your mouth and the chosen material, like porcelain or zirconia. Cash-paying patients can expect costs within a range of $900-$1,400, while dental insurance might offer reduced costs.

Curious about your first appointment?

Efficiency is a priority at Today Dental of Golden Triangle. Upon arrival, you'll be warmly welcomed and escorted to the treatment area. To gain a clear picture of your oral health, we'll take digital images and X-rays. The dentists will then perform a thorough examination, inquiring about any potential discomfort you might be experiencing. If decay or fractures are present, crown treatment might be recommended. In most cases, we strive to initiate treatment on the same day, reflecting our commitment to prompt and efficient care. Following tooth preparation for the crown, a temporary restoration will be placed, and an impression will be taken. You'll then return in 2-3 weeks for permanent crown placement.

Confused about dental bridges?

Think of a dental bridge as a crown's cousin, designed to fill the gap created by missing teeth. It consists of two or more crowns cemented to the teeth flanking the gap (abutment teeth) and one or more artificial teeth (pontics) filling the space between them. The abutment teeth act as anchors, while the pontic effectively restores the appearance and functionality of the missing tooth/teeth. Bridges can be crafted from various materials, including porcelain or zirconia, and are securely attached to natural teeth for optimal stability. While dental bridges offer a convenient solution for replacing one or two missing teeth, they might not be suitable for restoring numerous missing teeth, and a dental professional can help you explore other options.

Unsure if a crown is right for you?

At Today Dental of Golden Triangle, we prioritize conservative approaches, aiming to preserve as much healthy tooth structure as possible. We believe natural teeth offer unmatched functionality and durability. So, why consider a dental crown? Firstly, crowns act as tooth protectors, safeguarding existing tooth structure compared to alternatives like implants or dentures that require tooth extraction. Additionally, crowns offer a simple and efficient solution to reinforce weakened, cracked, or decayed teeth. Furthermore, they can enhance both the aesthetics and functionality of your smile, allowing you to regain confidence and embrace a brighter, healthier smile.