A Reason to Smile…

Free Teeth Whitening

Your Keller Dentist

Owners of Today Dental

Today Dental Crowley

Snow white teeth!

Your Keller, TX, dentist truly gets that discolored teeth will impact more than just your smile. Discover our custom trays, in-office professional whitening, and whitening kits, all designed to fulfill your teeth-whitening desires.

A special day coming up?

Life’s special moments call for brighter smiles! Whether it’s a wedding or a reunion, whitening your teeth is the swift and painless way to turn back the clock. And yes, we’ve got your back!

Non-sensitive teeth!

Experience the right way of professional teeth whitening at Today Dental of Keller – free from tooth pain! End post-op sensitivity with our array of options and receive complimentary desensitizing gel for added comfort.

Cost effective teeth whitening

At your Keller, TX, dentist we’ve strategically kept expenses down, helping you get the smile you’ve always wanted without compromising on quality or results.

Whitening 4 Life

Get teeth whitened for free! Our exclusive program sets you up with personalized whitening trays and whitening gel during your visit. Plus, enjoy a free tube of whitening gel with every cleaning!

Gentle and relaxed environment

Embrace a caring dental experience at Today Dental of Kellere. Beyond the pursuit of white teeth, we are dedicated to forming lasting connections with our patients.

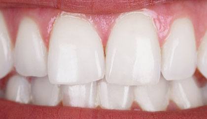
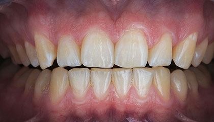
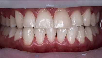
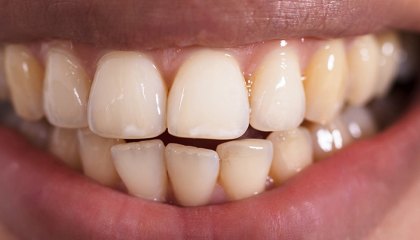
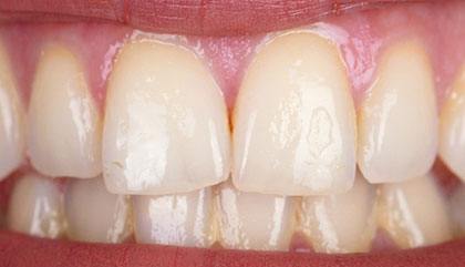
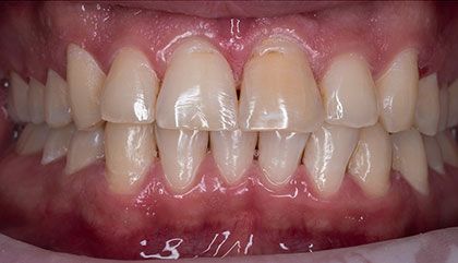
Beautiful White Smiles

before
after
before
after
before
after
before
after
before
after

Opening Hours

DayHours
Monday8:30 a.m. - 5:30 p.m.
Tuesday8:30 a.m. - 5:30 p.m.
Wednesday8:30 a.m. - 5:30 p.m.
Thursday8:30 a.m. - 5:30 p.m.
Friday8:30 a.m. - 3:00 p.m.
Saturday8:00 a.m. - 2:00 p.m.
SundayClosed

YOUR Keller TEAM

Keller Office
Keller Office
Keller Office
Keller Office
Keller Office
Keller Office
Keller Office
Keller Office
Keller Office
Keller Office
Keller Office
Keller Office
Keller Office
BB
Braden B.

Such incredible service! Everyone is so friendly the minute you walk through the door! Dr Zajac was extremely professional and did an amazing job on my teeth! Would definitely recommend to everyone wanting a fantastic experience at the dentist! :)

CC
Cynthia C.

Haven’t had a cleaning in over 2 years and this was a great experience for me! Doctor was amazing and sweet! All staff was caring and helpful with any of my dental needs and questions!! 100/10 recommend Today Dental!

RC
Rilee C.

Amazing place! This is our first time and they have been very professional and efficient. They made sure all of our needs were met and provided great service to our boys. We will definitely be making this our family dentistry! Thanks Today Dental!!!

DM
DelvinKatrina M.

Amazing place! This is our first time and they have been very professional and efficient. They made sure all of our needs were met and provided great service to our boys. We will definitely be making this our family dentistry! Thanks Today Dental!!!

You’ve made it this far. . .

FREE Teeth Whitening

Just ask at your first visit

Your Keller WHITENING EXPERTS

Frequently Asked Questions

How long will this take, roughly?

Say goodbye to take-home kits! In-office whitening (Zoom/Boost) offers a quicker and more effective option, achieving whiter teeth in a single appointment (around an hour) with stronger gels and light.

Knowing I have some veneers and crowns, would this whitening option be effective for me?

Whitening won't affect veneers or crowns, but there are options! Your Today Dental of Keller dentists can discuss alternative solutions to achieve your desired smile shade.

What would be the total cost for this procedure?

Unlock a brighter smile at no cost! Today Dental of Keller provides complimentary teeth whitening kits, including custom trays, gel, and a case, to all patients. We'll ensure you have everything you need with free gel refills and lost tray replacements. For a more rapid whitening experience, consider our in-office professional service, usually priced between $200-$300 (explore holiday promotions for potential discounts).

Based on my needs, would teeth whitening be recommended?

Whiter teeth might be in reach! While we love bright smiles at Today Dental, several factors influence suitability for whitening. Your current teeth condition, oral health, and desired results are all considered. Generally, whitening works well for stains caused by age, food/drinks, and smoking, but may not be suitable for untreated cavities, gum disease, or other dental issues. Overuse or improper use of whitening products can also lead to sensitivity, so professional guidance is crucial.

Is teeth whitening something I can consider at my age?

Thinking about whitening? Age matters! While we love bright smiles at Today Dental, teeth whitening is generally not recommended for those under 16. This is because their teeth are still developing and more sensitive. If you're under 16 and interested in whitening, we can advise on waiting or discuss alternative options.